Mandibula 3D Free History: From Research to Dentistry | DentIIT — New Features
Mandibula 3D Free history: The Evolution of 3D Dental Visualization Mandibula 3D Free, a powerful dental visualization tool, has come a long way since its
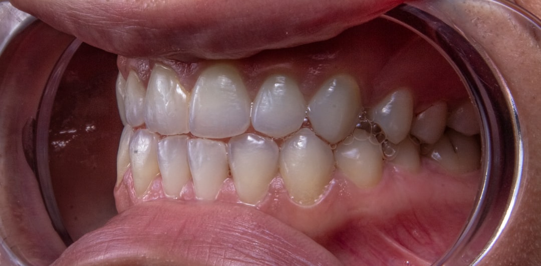
Welcome to our hub for dental software news. Here you will find the latest information on new releases, feature updates, and industry insights for free tools that power modern dental practices. We cover everything from practice management systems and digital imaging to innovative solutions for patient care and clinic efficiency.
Mandibula 3D Free history: The Evolution of 3D Dental Visualization Mandibula 3D Free, a powerful dental visualization tool, has come a long way since its
JDicom history: A Comprehensive Overview of its Evolution JDicom, a renowned digital radiography and imaging software, has come a long way since its inception. From
Dental Shaper Lite history: Evolution of a Revolutionary Dentistry Tool Dental Shaper Lite has come a long way since its inception, transforming from a research
SM3D Viewer history: Evolution of Dental Visualization The SM3D Viewer has come a long way since its inception as a research tool. Today, it stands

HorliX history: A Journey of Innovation in Digital Radiography HorliX, a leading digital radiography and imaging software, has come a long way since its inception.
DENTOSIM Free history: A Journey of Innovation in Dental Visualization DENTOSIM Free has revolutionized the field of dentistry with its cutting-edge 3D visualization and simulation
Oral Histology Atlas (Free) history: From Humble Beginnings to Global Impact The Oral Histology Atlas (Free) has come a long way since its inception, transforming

OpenDentalFork Cloud Edition history: From Humble Beginnings to Global Dental Dominance OpenDentalFork Cloud Edition has revolutionized the dental practice management landscape with its cutting-edge technology

DentiSys Lite history: Unveiling the Evolution of Dental Visualization DentiSys Lite has come a long way since its inception, transforming from a research software to
Mandibula 3D Free history: Evolution of a Revolutionary Dental Visualization Platform Mandibula 3D Free has come a long way since its inception, transforming from a
OpenDentalFork Cloud Edition history: Evolution of Dental Visualization The OpenDentalFork Cloud Edition is a cutting-edge dental practice management system that has revolutionized the way dental
ClinicCases history: Evolution of Dentistry’s Leading Visualization Platform ClinicCases has revolutionized the dental industry with its cutting-edge visualization software. But have you ever wondered how